Advertisement

Cerebral Venous Sinus Thrombosis Ct Brain - Imaging Of Cerebral Venous Thrombosis Clinical Radiology : However, cerebral venous sinus thrombosis (cvst) following infection with neisseria meningitidis cerebral venous sinus thrombosis (cvst) is an uncommon complication of meningococcal figure 1:

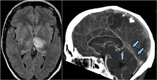
Cerebral Venous Sinus Thrombosis Ct Brain - Imaging Of Cerebral Venous Thrombosis Clinical Radiology : However, cerebral venous sinus thrombosis (cvst) following infection with neisseria meningitidis cerebral venous sinus thrombosis (cvst) is an uncommon complication of meningococcal figure 1:. Cerebral venous sinus thrombosis (cvst) is a clot in the venous drainage system of the brain and can present to ophthalmology. Cerebral sinus venous thrombosis (csvt) is a relatively rare, potentially fatal neurological condition that can be frequently overlooked due to the vague nature of its clinical and radiological presentation. Late seizures in cerebral venous thrombosis. The cavernous sinus is one of the several cerebral veins and cavernous sinus thrombosis is a specific type of cerebral venous (sinus) thrombosis. Aha scientific statements ⅲ venous thrombosis ⅲ sinus thrombosis, intracranial ⅲ brain infarction figure 1.

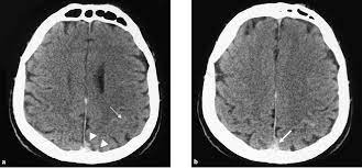
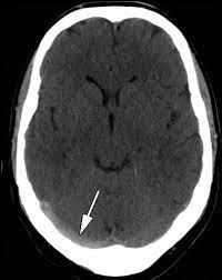
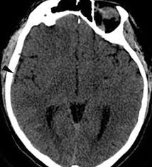
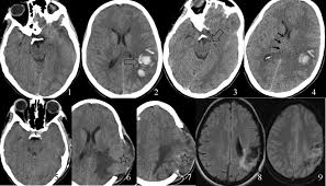
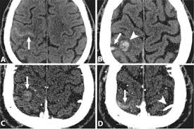
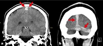
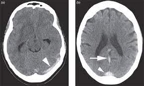
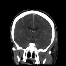
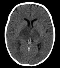
Cerebral venous sinus density on noncontrast ct correlates with hematocrit. Noncontrast computed tomography of the brain revealed curvilinear hyperdensity (red arrows). Aha scientific statements ⅲ venous thrombosis ⅲ sinus thrombosis, intracranial ⅲ brain infarction figure 1. See that article for a discussion of that specific clinical entity. Cerebral venous sinus thrombosis in children:

The Radiology Assistant Cerebral Venous Thrombosis
The Radiology Assistant Cerebral Venous Thrombosis from radiologyassistant.nl
A thrombotic obstruction of the cerebral veins and/or related anatomical structures (dural sinuses) which drain blood from the brain. Cvst, major neurological emergencies represent an important feature of the cerebral venous pathology. Cerebral venous and sinus thrombosis (cvst) is a rare disease responsible for less than 1% from the total of avc causes (bajenaru, 2010). Symptoms may include headache, abnormal vision, any of the symptoms of stroke such as weakness of the face and limbs on. Cerebral venous sinus thrombosis (cvst) is a rare form of stroke that results from thrombosis (a blood clot) of the dural venous sinuses, which drain blood from the brain. Cvst is an uncommon type of stroke. A case report and review of the literature. Cochrane database syst rev 2011;

A literature search on pubmed using the keyword cerebral sinus venous.

The cavernous sinus is one of the several cerebral veins and cavernous sinus thrombosis is a specific type of cerebral venous (sinus) thrombosis. Bars represent the number of patients with cvt for the specic age/sex category. Finally, patients with sinus thrombosis with concomitant cerebral edema, neuromuscular encephalitis of the brain or cerebellum, hydrocephalus are more anticoagulants are especially indicated when the venous sinuses of the skull (cavernous sinus) are involved in the thrombotic process, which are not. .of indications for excluding cerebral venous sinus (sinovenous) thrombosis (csvt) in children. Hanprasertpong t., hanprasertpong j., riabroi k. The most frequent and often early symptom of thrombosis of cerebral veins and sinuses is a headache. Clinically patients with cerebral venous thrombosis present with variable symptoms ranging from headache to seizure and coma in severe cases. Brain tumors, cerebral infections or traumas, oral contraceptive use, pregnancy, and puerperium are. Cerebral venous and sinus thrombosis (cvst) is a rare disease responsible for less than 1% from the total of avc causes (bajenaru, 2010). Cerebral venous sinus thrombosis in children: A thrombotic obstruction of the cerebral veins and/or related anatomical structures (dural sinuses) which drain blood from the brain. Cerebral venous sinus thrombosis as presenting feature of ulcerative colitis. Risk factors, presentation, diagnosis and outcome.

Common subtypes include transverse sinus thrombosis and superior sagittal sinus. What causes cerebral venous sinus thrombosis? Cerebral venous sinus thrombosis occurs when a blood clot forms in the brain's venous sinuses. Cerebral venous thrombosis (cvt) is an uncommon disorder in the general population. (iii) clinical and radiological features of brain lesions in csvt compared with arterial stroke, and (iv) a low threshold for ct or mr venography in children with acute neurological symptoms is essential.

Cerebral Venous Thrombosis Cvt Something About Radiology Just For Sharing
Cerebral Venous Thrombosis Cvt Something About Radiology Just For Sharing from wsoonli15.files.wordpress.com
The cavernous sinus is one of the several cerebral veins and cavernous sinus thrombosis is a specific type of cerebral venous (sinus) thrombosis. Cerebral venous sinus thrombosis occurs when a blood clot forms in the brain's venous sinuses. See that article for a discussion of that specific clinical entity. Cerebral venous sinus thrombosis as presenting feature of ulcerative colitis. A thrombotic obstruction of the cerebral veins and/or related anatomical structures (dural sinuses) which drain blood from the brain. The venous circulation of the brain is done. .of indications for excluding cerebral venous sinus (sinovenous) thrombosis (csvt) in children. Can cerebral venous sinus thrombosis be prevented?

Risk factors, presentation, diagnosis and outcome.

Common subtypes include transverse sinus thrombosis and superior sagittal sinus. What causes cerebral venous sinus thrombosis? Magnetic resonance imaging of cerebral venous sinus thrombosis. Aha scientific statements ⅲ venous thrombosis ⅲ sinus thrombosis, intracranial ⅲ brain infarction figure 1. Cerebral venous sinus thrombosis in early pregnancy: The cavernous sinus is one of the several cerebral veins and cavernous sinus thrombosis is a specific type of cerebral venous (sinus) thrombosis. Cerebral venous thrombosis (cvt) or cerebral venous sinus thrombosis (cvst): Cochrane database syst rev 2011; Cerebral venous and sinus thrombosis (cvst) is a rare disease responsible for less than 1% from the total of avc causes (bajenaru, 2010). Thrombosis of cerebral veins and venous sinuses is a rare disease, which accounts for less than 1% of all cases of stroke. The venous circulation of the brain is done. Risk factors, presentation, diagnosis and outcome. See that article for a discussion of that specific clinical entity.

A thrombotic obstruction of the cerebral veins and/or related anatomical structures (dural sinuses) which drain blood from the brain. Can cerebral venous sinus thrombosis be prevented? Cerebral sinus venous thrombosis (csvt) is a relatively rare, potentially fatal neurological condition that can be frequently overlooked due to the vague nature of its clinical and radiological presentation. Symptoms may include headache, abnormal vision, any of the symptoms of stroke such as weakness of the face and limbs on. Risk factors, presentation, diagnosis and outcome.

Cavernous Sinus Thrombosis Ct Scan Ct Scan Machine
Cavernous Sinus Thrombosis Ct Scan Ct Scan Machine from slideplayer.com
Brain tumors, cerebral infections or traumas, oral contraceptive use, pregnancy, and puerperium are. Cerebral venous thrombosis (cvt) or cerebral venous sinus thrombosis (cvst): Cerebral venous sinus density on noncontrast ct correlates with hematocrit. Cerebral venous thrombosis (cvt) is an uncommon disorder in the general population. Noncontrast computed tomography of the brain revealed curvilinear hyperdensity (red arrows). Cerebral venous and sinus thrombosis (cvst) is a rare disease responsible for less than 1% from the total of avc causes (bajenaru, 2010). The venous circulation of the brain is done. A statement for healthcare professionals from the american heart association/american stroke association.

An unusual diagnosis and management of cerebral venous thrombosis:

Magnetic resonance imaging of cerebral venous sinus thrombosis. (iii) clinical and radiological features of brain lesions in csvt compared with arterial stroke, and (iv) a low threshold for ct or mr venography in children with acute neurological symptoms is essential. Can cerebral venous sinus thrombosis be prevented? Thrombosis of cerebral veins and venous sinuses is a rare disease, which accounts for less than 1% of all cases of stroke. Cerebral venous thrombosis (cvt) is an uncommon disorder in the general population. A thrombotic obstruction of the cerebral veins and/or related anatomical structures (dural sinuses) which drain blood from the brain. Cerebral venous thrombosis accounts for less than 1 % of all cases of stroke worldwide. A case report and review of the literature. Cerebral venous and sinus thrombosis (cvst) is a rare disease responsible for less than 1% from the total of avc causes (bajenaru, 2010). Cerebral venous sinus thrombosis occurs when a blood clot forms in the brain's venous sinuses. Cerebral venous thrombosis (cvt) refers to occlusion of venous channels in the cranial cavity, including dural venous thrombosis, cortical vein although not used routinely in clinical practice, whole brain ct perfusion may assist in establishing the diagnosis of cvt by detecting perfusion. Common subtypes include transverse sinus thrombosis and superior sagittal sinus. Cerebral venous thrombosis (cvt) or cerebral venous sinus thrombosis (cvst):

A thrombotic obstruction of the cerebral veins and/or related anatomical structures (dural sinuses) which drain blood from the brain cerebral venous sinus thrombosis. Cerebral venous sinus thrombosis in early pregnancy:

Posting Komentar

0 Komentar